
¼¿ï´ëº´¿ø, Àü±¹ 18¼¼ ¹Ì¸¸ ¸ð¾ß¸ð¾ßº´ ¼Ò¾Æ ȯÀÚ 4323¸í ÈÄÇâÀû ºÐ¼®
»ç¸Á·³ú°æ»ö, 2016~2021³â Áö¼Ó °¨¼Ò °æÇâ º¸¿©...³úÃâÇ÷ 40% °¨¼Ò
[ÀÇÇнŹ®·Àϰ£º¸»ç=±èÇö±â ±âÀÚ] Èñ±Í³Ä¡¼º ³úÇ÷°üÁúȯ ‘¼Ò¾Æ ¸ð¾ß¸ð¾ßº´’ÀÇ ±¹³» Ä¡·á ȯ°æÀÌ ÁúÀûÀ¸·Î Çâ»óµÈ °ÍÀ¸·Î ³ªÅ¸³ª ÁÖ¸ñµÈ´Ù.
ƯÈ÷ »ç¸Á·ü°ú ÇãÇ÷¼º ³úÁ¹Áß ¹ß»ý·üÀº Áö¼ÓÀûÀÎ °¨¼Ò Ãß¼¼¸¦ º¸¿´°í, Ä¡¸íÀû ÇÕº´ÁõÀÎ ‘ÃâÇ÷¼º ³úÁ¹Áß’ÀÌ ¾à 40% À¯ÀǹÌÇÏ°Ô °¨¼ÒÇß´Ù.
¼¿ï´ëº´¿ø ¼Ò¾Æ½Å°æ¿Ü°ú ±è½Â±â ±³¼ö·ÀÇ»ý¸í¿¬±¸¿ø ±è»ó¿Ï ¿¬±¸±³¼ö¿Í ¼¿ïÀÇ´ë ÀÌÁß¿± ±³¼ö, »ï¼º¼¿ïº´¿ø ÀÌÁ¾¼® ±³¼öÆÀÀº ÃÖ±Ù 2006~2021³â ±¹¹Î°Ç°º¸Çè°ø´Ü¿¡ µî·ÏµÈ Àü±¹ 18¼¼ ¹Ì¸¸ ¼Ò¾Æ ¸ð¾ß¸ð¾ßº´ ȯÀÚ 4323¸íÀÇ ¹ß»ý·ü, À¯º´·ü, ¼ö¼ú¹ý, ¿¹ÈÄ µîÀ» ÈÄÇâÀûÀ¸·Î ºÐ¼®ÇÑ °á°ú¸¦ 5ÀÏ ¹ßÇ¥Çß´Ù.

ÀÌ °á°ú, Àα¸ 10¸¸¸í´ç ¼Ò¾Æ ¸ð¾ß¸ð¾ßº´ ¹ß»ý·üÀº Áö¼ÓÀûÀ¸·Î °¨¼ÒÇØ 2010³âºÎÅÍ ¾à 2¸í ¼öÁØÀ» À¯ÁöÇßÀ¸³ª, À¯º´·üÀº 2006³â 9.3¸í¿¡¼ 2021³â 24.8¸íÀ¸·Î Áõ°¡Çß´Ù. ÀÌ´Â Àüü ¼Ò¾Æ Àα¸°¡ °¨¼ÒÇÑ ¹Ý¸é, ¸ð¾ß¸ð¾ßº´ ȯÀÚÀÇ »ýÁ¸À²ÀÌ Çâ»óµÆ±â ¶§¹®À̶ó°í ¿¬±¸ÆÀÀº ¼³¸íÇß´Ù.
¿¹ÈÄ ºÐ¼®¿¡¼´Â »ç¸Á·ü°ú Àüü ³úÁ¹Áß, ÇãÇ÷¼º ³úÁ¹Áß ¹ß»ý·üÀÌ Åë°èÀûÀ¸·Î À¯ÀǹÌÇÏÁö´Â ¾ÊÁö¸¸ Áö¼ÓÀûÀ¸·Î °¨¼ÒÇÏ´Â °æÇâÀ» º¸¿´´Ù. ƯÈ÷ »ç¸Á·üÀº 2007³â 1000Àγâ´ç 3.6¸í¿¡¼ ÀÌÈÄ ´ëºÎºÐÀÇ ¿¬µµ¿¡ 1¸í ³»¿Ü·Î ¾ÈÁ¤ÀûÀ¸·Î À¯ÁöµÆ´Ù.
ÇÑÆí, Ä¡¸íÀûÀÎ ÃâÇ÷¼º ³úÁ¹ÁßÀº 2006³â 1000Àγâ´ç 3.3°Ç¿¡¼ 2021³â 2.0°ÇÀ¸·Î ¾à 40% À¯ÀǹÌÇÏ°Ô °¨¼ÒÇØ, ¼Ò¾Æ ¸ð¾ß¸ð¾ßº´ Ä¡·áÀÇ ÁúÀû Çâ»óÀ» º¸¿©Áá´Ù.
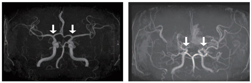
¶Ç ¼ö¼ú¹ýÀ¸·Î´Â ´ëºÎºÐ °£Á¢¹®ÇÕ¼ú(³ú¿¡ ÇǸ¦ °ø±ÞÇϵµ·Ï µÎÇÇ Ç÷°üÀ» ºÐ¸®ÇØ ³úÇ¥¸é¿¡ Á¢Ã˽ÃÅ´)ÀÌ ½Ç½ÃµÆ°í, Àüü ¼ö¼ú·üÀº Á¡Â÷ Áõ°¡ÇØ 2018³âºÎÅÍ´Â 88%ÀÇ È¯ÀÚ°¡ ¼ö¼úÀû Ä¡·á¸¦ ¹Þ¾Ò´Ù. ÇÑÆí, ¼ö¼ú±ºÀº ºñ¼ö¼ú±º ´ëºñ Æò±Õ ¿¬·ÉÀÌ ¾î¸° °ÍÀ¸·Î ³ªÅ¸³µ´Ù(9.5¼¼ vs 12.4¼¼).

±è½Â±â ±³¼ö(¼Ò¾Æ½Å°æ¿Ü°ú)´Â “À̹ø ¿¬±¸¸¦ ÅëÇØ Àü±¹ ¼Ò¾Æ ¸ð¾ß¸ð¾ßº´ ¹ß»ý·ü°ú ¿¹ÈÄ¿¡ ´ëÇÑ ±âÃÊ ÀڷḦ È®º¸Çß´Ù”¸ç “ÃàÀûµÈ ¿ªÇÐ ÀڷḦ ±â¹ÝÀ¸·Î ÇâÈÄ ´Ù±â°ü ÀÓ»ó ³×Æ®¿öÅ© ±¸Ãà µîÀ» ÅëÇØ ±¹³» ÀÓ»óÇö½Ç¿¡ ÃÖÀûÈµÈ ¼Ò¾Æ ¸ð¾ß¸ð¾ßº´ Ä¡·á ¹æÇâÀÌ ¼ö¸³µÇ±æ ±â´ëÇÑ´Ù”°í ¸»Çß´Ù.
ÇÑÆí À̹ø ¿¬±¸´Â À̰ÇÈñ ¼Ò¾Æ¾Ï·Èñ±ÍÁúȯ ±Øº¹»ç¾÷ÀÇ Áö¿øÀ» ¹Þ¾Æ ¼öÇàµÆÀ¸¸ç, ±¹Á¦ÇмúÁö ‘±¹Á¦ ³úÁ¹Áß Àú³Î(IF;8.7)’ ÃÖ±ÙÈ£¿¡ °ÔÀçµÆ´Ù.
±èÇö±â ±âÀÚ
±â»çÀÔ·Â 2025.12.05 10:56